|
DMG presents the new, improved version of ICON – ICON Prime. Thanks to its new formulation, it penetrates deeper and more evenly into demineralized enamel, making it a more effective alternative for minimally invasive, drill-free treatments. ICON Prime is more advanced than the previous ICON in several ways. 1. Surface Conditioning 2. What is MDP and why is it important? 3. Deeper Infiltration 4. Better Treatment Control 5. Aesthetic Advantage |
|
||
| Applications of ICON | |
|---|---|
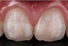
| White Spots |
|
| Fluorosis |
|
| Trauma |
|
| Caries |
|
Icon Vestibular - ProximalPerfect applicator for precise work. |
|
ICON VESTIBULARIS
Applicator:
|
ICON PROXIMALIS
Applicator:
|
|
|
|
|
|
The DMG Flairesse Bleaching Gel provides gentle yet effective tooth whitening thanks to its 16% carbamide peroxide concentration. It is especially beneficial as a complement to Icon Prime Vestibular and Proximal treatments, enhancing aesthetic results and helping achieve a more harmonious smile.
- Preserves tooth structure integrity
- Gentle on gums when combined with DentaMile bleaching trays
- Proven better masking results before infiltration
- Increases patient satisfaction
- Ideal for white, yellowish, and brown discolorations
Flairesse – for a naturally radiant smile.
